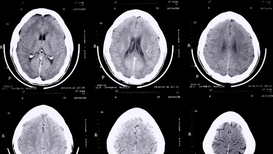
Publiée dans la revue Neurology de janvier, elle impliquait 104 personnes âgées en bonne santé, d’une moyenne d’âge de 87 ans, sans facteur de risque connu de maladie d’Alzheimer. Les chercheurs de la Oregon Health & Science University ont effectué des prélèvements sanguins pour déterminer les teneurs plasmatiques en vitamines du groupe B (B1, B2, B6, B9 et B12), en vitamines C, D et E, ainsi qu’en oméga-3 à longue chaîne et en acides gras trans. 42 sujets ont également subi un scanner cérébral.
Les résultats montrent une association positive entre des mauvais scores à différents tests de mémoire et de réflexion, et des taux plasmatiques élevés d’acides gras trans. À l’opposé, des taux plasmatiques élevés de vitamines B, C, D, E et d’oméga-3 marins étaient associés à de meilleures performances cognitives.
Le scanner cérébral confirme ces résultats: les seniors avec des taux élevés de trans présentaient une réduction significative de la taille du cerveau, en comparaison des autres sujets, et en particulier dans la région de l’hippocampe, un des sièges importants de la mémoire.
Pour les auteurs, cette découverte est intéressante, mais elle ne montre cependant pas encore une relation de cause à effet avec Alzheimer, et demande donc confirmation sur de plus larges échantillons de population.
Source : Bowman G. et al., Neurology., Published online before print, December 28, 2011, doi: 10.1212/WNL.0b013e3182436598