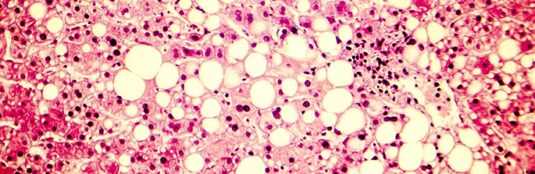
De bacteriën in de microbiota spelen een veelbelovende rol bij het bestrijden van leververvetting. Zo blijkt uit een grootschalige studie van Franse, Italiaanse en Engelse onderzoekers, gepubliceerd in Nature Medicine.
Vandaag zijn er maar twee mogelijke behandelingen voor de ophoping van vet in de lever, die kan leiden tot leverinsufficiëntie en een verhoogd risico op kanker: een strikt dieet of een levertransplantatie. De microbiota zou in de toekomst echter wel eens een uitstekende behandelingsoptie kunnen worden.
Omvang en resultaten van het onderzoek
Het cohort van het Europese consortium FLORINASH1
- Twee grote cohorten van 800 personen opgedeeld in 2 groepen: met en zonder leververvetting.
- Verzameling van talloze medische gegevens.
- Subgroep met 100 zwaarlijvige vrouwen: analyse van stoelgang, urine, biopsie en plasma.
- Analyse van meer dan 3 miljoen bacteriële genen.
- Implantatie van menselijke microbiota met leververvetting bij gezonde muizen.
Resultaten
- Vermindering van de diversiteit van de darmmicrobiota naarmate de ziekte oprukt.
- Stijging van triglyceriden in de lever na transplantatie van microbiota van donoren met leververvetting.
- Fenylazijnzuur, een component van de microbiota, stimuleert de aanwezigheid van vetten in de lever.
Uit farmacologisch standpunt
Dat de microbiota belangrijk is, weten we al langer. In 2007 en 2011 toonden onderzoeken al aan dat darmbacteriën diabetes en obesitas in de hand werken. De microbiota trok eerder al de aandacht van onderzoekers door de rol ervan bij de ontwikkeling van obesitas, maar nu zouden de darmbacteriën ook verantwoordelijk zijn voor leververvetting.
Nieuw is echter dat de microbiota gewijzigd kan worden en men zelfs een behandeling en specifieke probiotica kan ontwikkelen om deze leveraandoening te genezen.
Dit kan dus bijzonder interessant zijn voor de behandeling van obesitas- of diabetespatiënten, van wie 70 tot 80% kampt met leververvetting.