Onderzoekers hebben aangetoond dat de microbiota van gezonde kinderen muizen kan beschermen tegen koemelkallergie, terwijl de microbiota van allergische kin…
Maag & Darm
Darmmicrobiota, obesitas en mentale stoornissen: link ontdekt
Het grootschalig Europees project MyNewGut ontdekte recent nieuwe veelbelovende bacteriestammen die een beschermende werking vertonen tegen het ontstaan van…
Het effect van immigratie op de microbiota en obesitas
Uit een nieuwe studie blijkt dat de darmmicrobiota van Aziatische immigranten die naar de Verenigde Staten verhuizen, verwestert. Bovendien lopen……
Orale microbiota: marker voor vroegtijdige opsporing obesitas?
De bacteriën in de orale microbiota van twee jaar oude kinderen zouden het risico op obesitas voorspellen. De orale microbiota moet dus goed opgevolgd……
Darmbacterie werkt metabool syndroom in de hand
Zegt de naam Bilophila wadsworthia u iets? Waarschijnlijk niet. Bij een gezonde persoon vormt deze bacterie minder dan 0,1% van de totale darmmicrobiota. Bi…
Krekels als verwennerij voor de darmmicrobiota?
De studie naar de gezondheidseffecten van insecten staat nog in de kinderschoenen, maar er is al wel bewijs dat de consumptie van krekels een……
Ultrabewerkt voedsel zou darmgezondheid schaden
Een hoge consumptie van ultrabewerkt voedsel is geassocieerd met een verhoogd risico op het prikkelbaredarmsyndroom. Zo blijkt uit nieuwe……
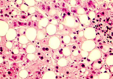
De microbiota, een nieuwe optie voor leververvetting
De bacteriën in de microbiota spelen een veelbelovende rol bij het bestrijden van leververvetting. Zo blijkt uit een grootschalige studie van Franse, ……
Yoghurt zou ontstekingen en endotoxinen verminderen
Yoghurt eten voor een maaltijd lijkt de metabole respons te verbeteren, met vooral een lagere blootstelling aan endotoxinen……
Cirrose: voordelen van een mediterraan dieet
Een mediterraan dieet is geassocieerd met een grotere microbiële diversiteit in de darmen en een kleiner risico op ziekenhuisopname……